Senin lalu, akhirnya aku memberanikan diri untuk operasi gigi bungsu! Lega rasanya!
Sepulang dari klinik, aku mencari tahu tentang geraham belakang. Ternyata biasa dikenal dengan gigi bungsu. Dari youtube, aku menonton bagaimana proses operasi gigi bungsu dan juga bagaimana alur operasi menggunakan asuransi. Dari beberapa video yang aku tonton, biaya operasi bisa memakan 4 juta per gigi. Aku juga menemukan video tentang operasi gigi bungsu bisa menggunakan BPJS. Aku pun langsung kepikiran pakai BPJS aja lah ini dan mencari tau di mana kira-kira faskes yang akan aku tuju. Rencana menggunakan BPJS ini terkendala karena faskes-ku masih di Bondowoso. Aku sudah berusaha mengganti faskes menggunakan JKN Mobile tapi selalu gagal.
Selain mencari info melalui internet, Kang Mas Suami mencari informasi dari teman kantornya. Ada yang berpengalaman operasi gigi menggunakan BPJS, dan ada juga yang operasi gigi di RSKGM UI. Nah, karena ini lah aku mulai mencari info tentang RSKGM UI dan akhirnya memutuskan ke sana!
How?
Awalnya aku datang ke RSKGM UI di hari Sabtu tapi ternyata hanya layanan IGD yang buka di hari Sabtu. Aku pun kembali datang di hari Senin dan akhirnya jadi lah aku operasi hari itu! Rincian berikut ini ya:
07.55 Tiba di RSKGM, mengisi form screening dan ukur suhu di bagian security.
08.00 Mengambil antrian, aku mendapat antrian PB 7 (PB=Pasien Baru).
08.10 Ke loket pasien baru, ditanya keluhan dan diminta mengisi form pendaftaran dan membayar biaya administrasi.
08.30 Ke loket lagi, ga tau istilahnya loket apa, diberikan kartu pasien dan diukur tensi.
09.00 Dipanggil ke Diagnostik Oral. Ditanya keluhan, sudah pernah kena covid atau belum, sudah vaksin atau belum. Di sini yang memeriksa adalah Mas-Mas mahasiswa (apa sih istilahnya, ga paham aku) didampingi dokter. Jadi si Mas-Mas yang ngecek terus dipaparkan ke dokter. Terus dokter memberi arahan untuk ditindaklanjuti di bagian bedah mulut dengan terlebih dahulu swab antigen dan rontgen.
09.15 Kembali ke kasir untuk mendaftar swab antigen dan rontgen. Langsung lanjut ke lab dan bagian radiologi. Hasil bisa diterima 15 menit kemudian. Sebelum rontgen, petugas meminta untuk melepas semua perhiasan, peniti jilbab, bros, dan juga kuncir rambut.
09.40 Naik ke lantai 3, mendaftar di bagian bedah mulut, menyampaikan kalau aku dirujuk dari bawah. Resepsionis mengecek namaku kemudian mempersilakan aku menunggu.
10.50 Dipanggil ke Bedah Mulut. Ditanyai keluhan lagi sama Mbak-Mbak sepertinya mahasiswa (?), terus dilaporkan ke dokter, dicek hasil rontgen dan kondisi gigi sama dokter, aku tanya efek jangka pendek dan jangka panjang dari dicabutnya gigi bungsu, dijelasin kalau ini pilihan terbaik tapi ada kemungkinan efek kebas atau baal dsb.
11.00 Diminta untuk menunggu di luar karena ruangan operasi masih digunakan.
11.50 Kembali dipanggil untuk masuk ruang operasi. Aku sempat ditinggal sendirian di ruang ini jadi aku sempat melihat-lihat alat yang akan digunakan, terus malah bergidik sendiri hehe. Di sini aku ditangani dokter dan dua asisten (Mbak-Mbak yang tadi dan temannya). Di awal dokter menjelaskan akan mengambil tindakan untuk gigi yang bawah dulu, kalau lancar baru yang atas dan aku boleh mengangkat tangan kiri jika merasa kesakitan. Lalu dokter menutupi wajahku dengan kain hijau yang berlubang di bagian hidung dan mulut. Tindakan pun dimulai dengan menyuntikkan bius di beberapa titik. Alhamdulillah saat disuntik ini ga terlalu terasa. Setelah pipi, bibir, dan lidah terasa tebal, bor dan kawan-kawannya bergantian memasuki mulutku. Sesungguhnya rasa sakitnya ga seberapa, tapi suara bornya itu luar biasa menganggu buat aku. Dokter melakukan tindakan sambil menjelaskan ke dua asisten yang mendampingi. Ini nih, aku sempat dengar dokter bilang insisi, sepemahamanku insisi ini penyayatan. Kan aku jadi kebayang gimana prosesnya. 😅
Setelah sepertinya gusiku disayat, lalu gigi dibor, lalu gigiku digoyang-goyang, sempat ada rasa sakit hingga dokter harus menambahkan suntikan anastesi, dokter bilang "gemes" sama gigiku, dan akhirnyaaaa gigiku lepas juga!! Alhamdulillahhhh... Dokter menunjukkan gigiku yang sudah terpisah menjadi dua bagian. Ternyata, akar gigiku melengkung sehingga menyebabkan sakit dan cukup sulit untuk dikeluarkan. Haaah, legaaaa... Kemudian dokter melakukan proses selanjutnya yaitu jahit-menjahit. Apakah sakit? Alhamdulillah ga, karena efek enastesinya masih cukup kuat ya.
Untuk gigi kanan atas, dokter menawarkan untuk dicabut minggu depan saat aku buka jahitan dengan pertimbangan supaya aku bisa mengunyah makanan di sisi kanan selama proses pemulihan. Tapi aku minta kalau bisa sekalian aja mumpung lagi cuti. Dalam hati aku mbatin "Sekarang aja lah dokkk, biar sekalian. Kalau masih minggu depan, aku pasti akan bayangin prosesnya tiap hari dan ga tau siap mental apa ga untuk ini lagi", hehe... Dokter pun menyetujui dan lanjut melakukan tindakan untuk gigi geraham bungsu kanan atas. Ternyataaa, easy peasy! Sepertinya ga sampai sepuluh menit, dokter bilang "sudah ya Mbak Fina". Alhamdulillahhhhh...
13.20 Aku keluar dari ruang operasi, menuju resepsionis untuk menunggu resep dan membayar biaya tindakan. Lanjut menebus obat di bagian farmasi.
13.55 Pulang dijemput suami tercinta bersama anak-anak deh!
![]() |
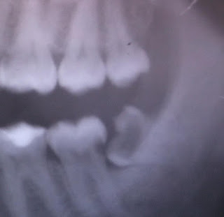
| Posisi gigi yang miring dan menghantam gigi sampingnya. |
![]() |
| Atas-Tengah: Gigi kiri bawah yang pecah jadi 2 bagian. Bawah: Gigi kanan atas yang bagian mahkotanya udah keropos. |
How much?
Saat mencari tau tentang operasi gigi bungsu ini, aku mendapat info kalau biaya untuk gigi bawah bisa mencapai 4 juta per gigi dan gigi atas mencapai 3 juta! Belum lagi biaya rontgen, rawat inap, dll. Tapi berdasarkan info dari blog dan thread di twitter yang aku baca, biaya di RSKGM UI ini lebih murah! Rinciannya ini ya:
Pendaftaran pasien baru Rp30.000
Swab Antigen Rp95.000
Rontgen Panoramic Rp140.000
Odontectomy Rp950.000 (operasi gigi bungsu bawah)
Ekstraksi Gigi 8 Rp300.000 (cabut gigi bungsu atas)
Obat Rp120.500 (anti nyeri, antibiotik, vitamin untuk saraf)
Obat lagi di Kimia Farma karena stock di RS kosong Rp122.000 (anti nyeri)
Total Rp1.757.500
Pemulihan
Hari pertama, sepulang dari RS, aku makan orak arik telur susu dengan susah payah. Mulut tidak bisa dibuka dan tidak bisa mengunyah. Menelan pun rasanya sakit. Malamnya aku makan kentang dan telur yang dihaluskan. Rasanya masih sakit luar biasa. Super irit ngomong karena sakit. Jalan dan pergerakan lain juga harus pelan. Sujud dan bangun dari sujud rasanya luar biasaaa.
Hari kedua, aku sarapan jus pir. Aneh rasanya, baru kali ini aku ngejus pir, biasanya aku makan krauk-krauk seger gitu kan. Siang makan kentang telur lagi, tapi dibuat lebih lembut lagi dari sebelumnya. Sudah lumayan bisa menelan. Minum jus lagi untuk nambah nutrisi. Badan terasa ga enak, keringat dingin tapi tidak demam. Rebahan seharian. Alhamdulillah malemnya enakan, udah bisa ngomong walau makan masih penuh perjuangan.
Hari ketiga, hari ini. Rasa nyeri sudah jauh berkurang. Rahang masih bengkak, tapi sudah lebih nyaman daripada sebelumnya, sudah bisa senyum deh! Makan masih pakai sendok kecil. Badan masih terasa ga fit tapi lebih baik daripada kemarin.
Demikianlah kisah kali ini! Mohon doanya ya biar pemulihanku ini lancar jayaaa!
Update
Hari keempat, mulai bisa makan nasi. Makan siang pakai nasi soto. Tapi sekali suap cuma bisa sedikit.
Hari kedelapan, lepas jahitan. Ditanya keluhan sama dokter, aku sampaikan kalau rasa sakitnya sudah ga, tapi untuk membuka mulut belum bisa lebar dan saat makan, rahang terasa capek banget. Sama dokter disarankan latihan buka mulut menggunakan sendok yang dimasukkan ke mulut di posisi horizontal terus diputar pelan menjadi vertikal atau stick eskrim yang diselipkan dengan penambahan jumlah (2 stick, diselipkan lagi 1 stick di tengahnya, kalau masih bisa diselipkan lagi 1, dst). Disarankan juga untuk kompres hangat di sekitar rahang.
Untuk pemulihan sampai jahitan tertutup total, masih butuh waktu sekitar 3 minggu lagi. Kemudian untuk kebersihan gigi, disarankan berkumur lebih kencang (akhirnyaaa setelah kemarin-kemarin ga boleh kumur kenceng). Terus aku juga menanyakan dari hasil rontgen terlihat gigi di sebelah gigi yang dicabut tampak ada warna hitam, apakah itu lubang. Dan kata dokter iyes bener lubang dan harus dirawat. Ihiksss
Oiya, biaya hari ini meliputi biaya pendaftaran Rp20.000 dan biaya lepas jahitan Rp120.000.
Update (lagi)
Semalem kerasa masih ada yang mengganjal di mulut, aku cek ternyata masih ada jahitan yang belum dilepas. Kecewa seketika.
Pagi tadi balik ke RSKGM UI, tetep kena biaya pendaftaran pasien Rp20.000, lanjut ke lantai 3. Setelah jelasin ke resepsionis lantai 3, menunggu sebentar, lalu dipanggil. Dokternya tanya kemarin ditangani sama siapa tapi aku ga tau namanya, cuma aku jelasin jam kedatanganku kemarin jam 10an terus diminta nunggu karena dokternya masih kuliah, terus jam 11an dipanggil untuk lepas jahitan. Dokter yang tadi mirip sama dokter yang kemarin sih.
Terus dilepas tuh jahitan yang tertinggal, dokternya nanya apa sebelum operasi ukuran buka mulutku cuma segitu, aku bilang ga. Terus diminta buka mulut lebih lebar sambil ditekan bagian rahang. Selesai. Ga bayar lagi.


Fin! Senin kemarin aku juga Odon. Barengan ya ternyata 😅 semoga cepet sembuh kita! Masih ada peer Molar3 atas baru muncul & mepet gigi depannya, bulan depan jadi odon lagi. Post-opnya super yaa rasanya 🥲
BalasHapusWadawww, bayangin hrs odon lg itu ya. Aku cukup sekali ini aja wess, ga mau lagi,😂
Hapus